Artrose enkel
Algemeen
Artrose is slijtage van het kraakbeen van het gewricht. Deze kraakbeenlaag is afhankelijk van het type gewricht één tot enkele millimeters dik. Het kraakbeen heeft een belangrijke glijdende en schokdempende rol binnenin het gewricht.
Het enkelgewricht heeft 2 verschillende gewrichten: het bovenste en onderste spronggewricht. In beide gewrichten kan artrose ontstaan.
Bij een kraakbeenletsel spreekt men van 4 verschillende graden:
Graad 1: Lichte verweking van het kraakbeen met fijne sliertjes.
Graad 2: Aantasting van het kraakbeen, minder dan de helft van de totaaldikte.
Graad 3: Aantasting van het kraakbeen, meer dan de helft van de totaaldikte.
Graad 4: Aantasting van het volledige kraakbeen tot op het onderliggend bot.
De belangrijkste symptomen van artrose zijn pijn, zwelling en stijfheid. De pijn neemt toe bij meer belasting van de enkel. Bij vergevorderde artrose kan er ook in rust en soms ’s nachts pijn voelbaar zijn. Er kan een startstijfheid zijn na een langere rustperiode, die vaak betert naarmate er meer bewogen wordt met het gewricht.
Door de slijtage kunnen er zich ook stukken kraakbeen gaan loskomen, die op hun beurt een normale bewegelijkheid van de enkel kunnen verhinderen. Bij een vergevorderd stadium van artrose kan er ook een standafwijking van de enkel zichtbaar worden.
Artrose kan optreden door verschillende oorzaken. Vaak is het leeftijdsgebonden en is er een erfelijke aanleg. Ze kan echter ook secundair optreden na een trauma, infectie of reuma aantasting van de enkel.
Diagnose
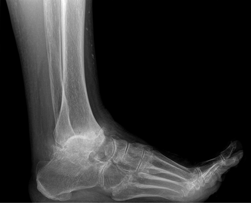
De diagnose artrose wordt reeds duidelijk na een klinisch onderzoek. De orthopedist analyseert het gangpatroon en onderzoekt de voet en de enkel. Bij vergevorderde artrose kan men de slijtage duidelijk zien op een staande radiografie. Bij een beginstadium kan een aanvullende arthro-CT van de enkel worden gemaakt. Hierbij wordt er een contrastvloeistof ingespoten in het enkelgewricht, waarna de CT-scan wordt gemaakt. Zo kan men beter zicht krijgen op de graad van slijtage en evt losse kraakbeen stukken.
In geval van een beperkte aantasting van het kraakbeen en aanwezigheid van instabiele kraakbeenletsels kan dit nog via een kijkoperatie (artroscopie) aangepakt worden.
Behandeling
- Niet-operatief:
De conservatieve behandeling van artrose in de enkel omvat oa dragen van aangepast schoeisel, relatieve rust en pijnstilling.
Soms kan een enkelbrace of ondersteunde verband ook verlichting bieden.
In het beginstadium kan er ook een behandeling met hyaluronzuur worden gestart. Deze gaan het kraakbeen gaan voeden en ondersteunen om verdere slijtage af te remmen. Indien niet helpt kan een behandeling met bloedplaatjes (PRP) overwogen worden. - Operatief:
Afhankelijk van de ernst van de artrose en de aangetaste zone in de enkel, kan er worden overgegaan tot verschillende ingrepen. In een beginstadium kunnen er via een enkelartroscopie (kijkoperatie) losse kraakbeen-fragmenten worden verwijderd en indien nodig kan er een eventuele microfractuur of -forage van het onderliggende bot worden uitgevoerd. Hierdoor vult het defect zich op met een soort littekenkraakbeen.
Bij vergevorderde artrose kan een enkelprothese worden geplaatst indien de andere gewrichten in de voet ook reeds een bepaalde slijtage en stijfheid vertonen. Aldus kan een normaler gangpatroon bekomen worden, met minder kans op overbelasting van deze stijvere voet. Indien een prothese geen optie is, kan er worden overgegaan tot een artrodese van de enkel, waarbij dit gewricht vastgezet wordt, meestal via een kijkoperatie.Zie operaties aan de voet en de enkel.
