Hallux valgus-correctie
Indien de klachten aanhouden desondanks conservatieve behandeling, kan een operatieve ingreep overwogen worden.
Er zijn twee voornaamste redenen om over te gaan tot een operatie, namelijk:
- De pijnklachten belemmeren het dagdagelijkse functioneren.
- De grote teen geeft een te grote druk op de 2de teen waardoor er een kans ontstaat op vorming van een hamerteen.
De ingreep
Deze ingreep omvat eigenlijk verschillende correcties:
- Er wordt een insnede gemaakt t.h.v. de binnenzijde van de voet op het niveau van de ‘bunion’ of ‘bult’ (‘kneut’ of ‘knobbel’ in de volksmond). Hierna wordt het kapsel t.h.v. het vervormde gewricht (MTP1-gewricht) losgemaakt, gezien dit kapsel met de jaren verkort raakte. Hierdoor kunnen de volgende stappen zonder weerstand van dit verkorte kapsel uitgevoerd worden.
- Een deel van de ‘bunion’ wordt vervolgens afgezaagd.
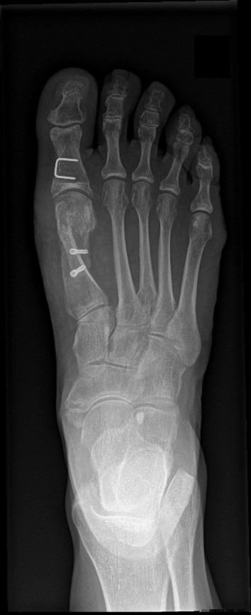
- Het verschuiven (osteotomie volgens SCARF) van het eerste beentje in de voorvoet (1e metatarsaal), daar dit beentje met de tijd progressief naar de binnenzijde van de voet verschoof. Deze osteotomie wordt dan gefixeerd met 2 speciale schroefjes welke tot aan de rand van het bot begraven zullen worden.
Voorbeeld van fixatieschroef: de TOOL-schroeven - Het is bijna steeds noodzakelijk om een wigje uit de basis van de grote teen te halen. Dit door een vaak voorkomende kromming t.h.v. de teen zelf en ook om de progressief ontstane torsie van de teen terug tot op de normale te brengen. Dit wordt nadien terug vastgezet met een krammetje. Afhankelijk van de type correctie wordt een schuin of recht krammetje geplaatst.
Schuin krammetje
Recht krammetje - Tenslotte wordt het binnenste kapsel dat te groot geworden was (zat gespannen over de bunion), terug mooi opgespannen door een speciale hechtingstechniek.
- Bij een standaard hallux valgus-operatie wordt de wonde verder gesloten met een intradermale hechting en steristrips.
- De voet wordt dan zorgvuldig ingepakt waarbij er een uitsparing wordt voorzien tussen de grote teen en de 2de teen (zie verder Postoperatieve richtlijnen hallux valguscorrectie).
De anesthesie
In de meeste gevallen zal er gebruik gemaakt worden van een algemene anesthesie in combinatie met een inspuiting via de kniekuil. De inspuiting in de kniekuil (‘POPLITEAAL BLOK’ of verkort ‘POP BLOK’) heeft als doel de pijn na de operatie tot een minimum te beperken of zelfs volledig te onderdrukken. Ze wordt toegediend door de anesthesist voor de operatie om een maximaal comfort te geven na de operatie. Hierdoor wordt er ook 1 nacht voorzien om in het ziekenhuis te verblijven.
Verloop na de operatie
Onmiddellijk na de operatie wordt een onderbeenspalk in kurk aangelegd (soort ‘open gips’), bedoeld als steun en opvang van de druk van de lakens op de pas geopereerd voet. De dag na de ingreep wordt op de afdeling de spalk verwijderd en het verband ververst. Hierbij wordt de nadruk gelegd op de ruimte tussen de grote teen en de teen ernaast goed op te vullen met een steriel doekje en dit gedurende minstens 5 weken. Er wordt steeds een voorschrift meegegeven voor verdere thuiszorg door een verpleegkundige.
De dag na de operatie mag er rondgelopen worden met een speciaal voet ontlastend wandelbotje (bunionboot). Dit wordt gedragen gedurende 5 weken, deze tijd is nodig om de verplaatste botstukjes te laten vastgroeien.
Postoperatieve afspraken
- De 1e controle is voorzien ongeveer 10 dagen na de operatie. Er gebeurt een wondcontrole en de hechtingen worden verwijderd. U mag zelf reeds starten met het bewegen van de enkel, voet en tenen. Na 14 dagen mag u in het water, tenzij anders aangegeven tijdens de 1e controle. Alsook wordt er na deze controle (vanaf de 3de week na de operatie) gestart met kinesitherapie.
- De 2de controle is voorzien ongeveer 5 weken na de operatie. Bij deze controle wordt er een radiografie genomen. Indien deze goed is kan gestart worden met progressieve steunname. Er kan dus gestart worden met het dragen van ‘normaal’ schoeisel. Hierbij houdt men wel rekening met de postoperatieve zwelling , die meestal na 6-tal maand zal verdwijnen. Dit heeft geen onmiddellijke belangrijke gevolgen voor werkhervatting, maar tijdelijk gebruik van wat aangepast schoeisel (bv. Klassieke sportschoen) is nog noodzakelijk.
Arbeidsongeschiktheid
Voor mensen die een staand beroep uitvoeren of veel dienen te stappen, moet men vaak rekening houden met een arbeidsongeschiktheid van 2 à 3 maand. Voor personen die een zittend beroep uitoefenen kan dit soms tot een 4-tal weken beperkt worden. Zolang men de bunionboot draagt mag men niet met de auto rijden.
Postoperatieve zorgen, aanleggen kurkspalk en bunionboot
Zie postoperatieve zorgen
