Platvoetcorrectie
Indien de conservatieve behandelingen onvoldoende ondersteuning geven, kan er worden overgegaan tot een operatieve ingreep.
De ingreep
Platvoetcorrectie bij kinderen
Bij jonge kinderen, die nog volop in de groei zijn, wordt er gebruik gemaakt van een implantaat dat in de voet wordt geplaatst om zo een correctie te geven aan de platvoet. Dit implantaat wordt door de chirurg in de sinus tarsi geplaatst (holte tussen de tarsus en het calcaneum). Door dit implantaat kan de voet nog normaal bewegen, maar zal dit minder extreem verder naar binnen kunnen kantelen. Na de operatie kan je dan ook direct een verschil merken in de stand van de voet.
Afhankelijk van de leeftijd van het kind zal het implantaat achteraf verwijderd kunnen worden eens de voet volgroeid is. Uitzonderlijk moet men het implantaat nog eens gaan vervangen door een groter exemplaar indien het 1e implantaat te klein geworden is en de voet nog niet volledig volgroeid is.
Bij deze ingreep worden ook meestal de ligamenten van de voetboog opgespannen en verstevigd.
Indien de enkel nog niet voldoende naar 90° kan worden gebracht, kan er ook worden beslist om een gastrocnemius-verlenging (of kuitspierverlenging) te gaan toepassen.
Bij heel jonge kinderen kunnen eventueel beide voeten in 1 ingreep worden gecorrigeerd.
Platvoetcorrectie bij volwassenen
Van zodra de voet volgroeid is, kan er geen gebruik meer gemaakt worden van een implantaat. Er zal een beenderige correctie nodig zijn in combinatie met het ligamentair herstel. Bij deze ingreep wordt het calcaneum (hielbeen) doorgezaagd en op deze wijze verplaatst zodat het verschoven calcaneum (verworven door de platvoet) terug onder de patiënt kan worden geschoven, waardoor het weer een optimale steun gaat geven en de vorm van de voet wordt veranderd.
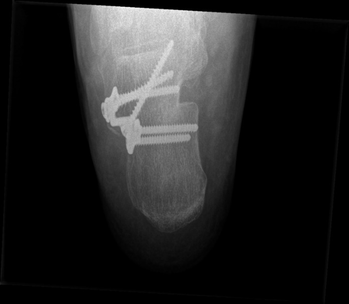
Voor de fixatie van het bot wordt er een speciaal plaatje met trapvorm aangebracht op het verschoven calcaneum (zie radiografie verder). Dit plaatje wordt gefixeerd met 5 stevige schroeven.
Naast de beenderige correctie is het noodzakelijk om ook de verschillende ligamenten terug te gaan opspannen zodat de gehele voet terug naar een normale stand kan worden geplaatst.
Indien nodig wordt ook bij deze ingreep een gastrocnemius-verlenging (of kuitspierverlenging) toegepast.
De anesthesie
In de meeste gevallen zal er gebruik gemaakt worden van een algemene anesthesie in combinatie met een inspuiting via de kniekuil. De inspuiting in de kniekuil (‘POPLITEAAL BLOK’ of verkort ‘POP BLOK’) heeft als doel de pijn na de operatie tot een minimum te beperken of zelfs volledig te onderdrukken. Ze wordt toegediend door de anesthesist voor de operatie om een maximaal comfort te geven na de operatie. De inspuiting in de kniekuil wordt niet uitgevoerd bij jonge kinderen. Hierdoor wordt er ook 1 nacht voorzien om in het ziekenhuis te verblijven.
Verloop na de operatie
Onmiddellijk na de operatie wordt een onderbeenspalk in kurk aangelegd (soort ‘open gips’), bedoeld als steun en opvang van de druk van de lakens op de pas geopereerd voet. De dag na de ingreep wordt op de afdeling de spalk verwijderd en het verband ververst. Er wordt steeds een voorschrift meegegeven voor verdere thuiszorg door een verpleegkundige.
Bij de 1e postoperatieve controle zullen de hechtingen worden verwijderd en zal een onderbeengips worden aangelegd voor ongeveer 3 weken.
Na 3 weken gips, wordt de gips verwijderd en vervangen door een Walkerboot.
Na 4 weken wordt er een controle-radiografie gedaan om te kijken of de Walkerboot kan worden weggelaten.
De Walkerboot moet worden gedragen tijdens elke steunname. Autorijden hiermee is niet toegestaan.
Postoperatieve afspraken
- De 1e controle is voorzien ongeveer 10 dagen na de operatie.
- De 2de controle is voorzien ongeveer 4 weken na de operatie.
- De 3de controle is voorzien ongeveer 8 weken na de operatie.
Arbeidsongeschiktheid
Voor mensen die een staand beroep uitvoeren of veel dienen te stappen, moet men vaak rekening houden met een arbeidsongeschiktheid van 2 à 3 maand. Voor personen die een zittend beroep uitoefenen kan dit soms tot een maand beperkt worden. Zolang men de walkerboot draagt mag men niet met de auto rijden.
Aanleggen kurkspalk en walkerboot
Zie postoperatieve zorgen
